gorelka
-optimus
.ru
Главная
»
Сквозь линзу
»
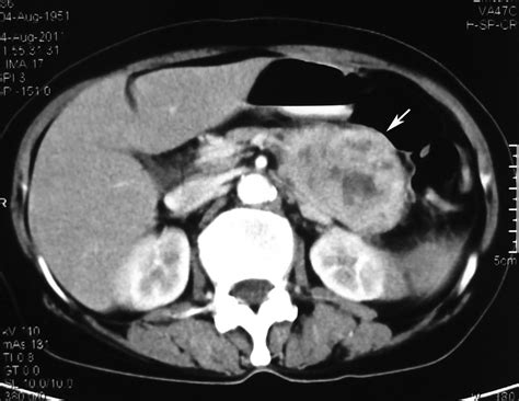
Как проводится КТ при IPMN поджелудочной железы
Сквозь линзу